Cone Bean Computer Assembled Tomography

Our office uses the most advanced technology to treat our patients in the most effective way. We use the award-winning i-CAT 3D FLX Cone Beam Computer Assembled Tomography (CBCT) imagining system to acquire the most diagnostic image with less radiation than the average panoramic or traditional x-ray. The dose from this imaging system is 80-95% less than a medical Computed Tomography. With an extremely short scan, typically within five seconds, we can obtain enough data for a comprehensive diagnosis.

The type of radiation produced by the i-CAT is no different than that produced by any other x-ray machine. But with less radiation, one i-CAT scan can replace all of traditional images like panoramic, a lateral cephalogram (head film) and various periapical x-rays in just one click.

Why is it better?

i-CAT 3D imaging provides exceedingly beneficial information about the following:

  • Less radiation
  • More details
  • 3D image system
  • Precise location of impacted teeth
  • Precise measurement of implant placement
  • Bone loss visualization
  • Medical findings

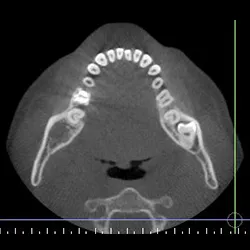
Case 1

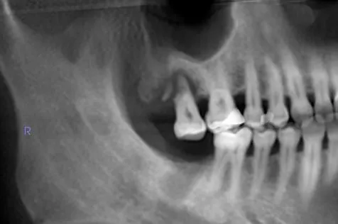
Case 2

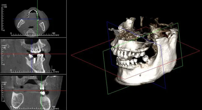
Case3

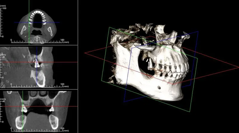
Case 4